AG Dr. Ali - Forschungsthemen


Interaction of chronodisruption and neurodegenerative diseases on structural neuronal plasticity including adult neurogenesis 

The mammalian circadian system is a hierarchically organized system, which controls a 24-h periodicity in a wide variety of body and brain functions and physiological processes. Impairment of the circadian system, so called chronodisruption, can lead to or result from neurodegenerative diseases including Alzheimer’s disease. There is increasing evidence that the circadian system modulates the complex multistep process of adult neurogenesis, which is crucial for neuronal network plasticity via rhythmic systemic factors or via intrinsic factors within the neural progenitor cells such as the molecular clockwork. Impaired adult neurogenesis is tightly linked to neurodegenerative diseases. We use mouse models for chronodisruption as well as Alzheimer disease to investigate the interaction between the circadian system and neurodegenerative disease on structural neuronal plasticity including adult neurogenesis at both the systemic and the cellular levels. Our research provides better understanding of the role of the circadian system in modulation of adult neurogenesis, which can help develop new treatment strategies to improve the cognitive deterioration associated with chronodisruption due to neurodegenerative diseases or detrimental light regimes.


Interaction of chronodisruption and cancer

There is a bidirectional relationship between the disruption of the circadian system and cancer. On the one hand, chronodisruption is a risk factor for cancer development and progression. On the other hand, cancer patients often suffer from changes in the sleep wake cycle including fatigue/decreased activity and altered sleep, which may be due to a disturbed circadian system. Our research in the mouse model of hepatocellular carcinoma (HCC) aims to investigate the interaction between HCC development and the circadian system. In addition, we investigate the effects of a timed application of radiotherapy, in the sense of chronotherapy, on the tumour tissue as well as the side effects on the healthy liver tissue and remote effects on brain subregions including central circadian pacemaker in the hypothalamus, the suprachiasmatic nucleus and hippocampus. Such findings contribute to a better understanding of mechanisms underlying the disease-related symptoms and to optimize chronotherapy for cancer treatment with higher efficacy and least side effects.


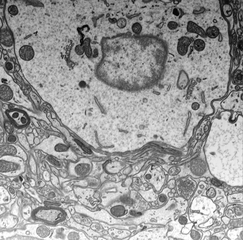
Structural and ultrastructural analysis of rhythmic neuron-glia interaction

The circadian rhythms generated by the circadian pacemaker, the suprachiasmatic nucleus (SCN), are entrained to the environmental light/dark cycle. Light information is transmitted from the retina to the SCN by the retino-hypothalamic tract and encoded by its neurotransmitters such as glutamate and neuropeptides. Respective signal transduction cascades result in the adjustment of the phase and the period length of circadian rhythms generated in SCN cells. In addition to neurons, astrocytes are important components of the rhythm generating network and contribute to the stability and the entrainment of circadian rhythms e.g. by regulating the neurotransmitter balance. Our aim is to investigate the time-of-day-dependent changes in SCN synaptic plasticity, neuron-glia interaction and glial connectivity at both structural and ultrastructural levels. This may help to define possible actors involved in light entrainment and circadian rhythm stability and to use their modulation as therapeutic targets in chronodisruption also in the context of various diseases.

MediathekInformation und Wissen
LageplanSo finden Sie uns