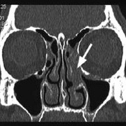
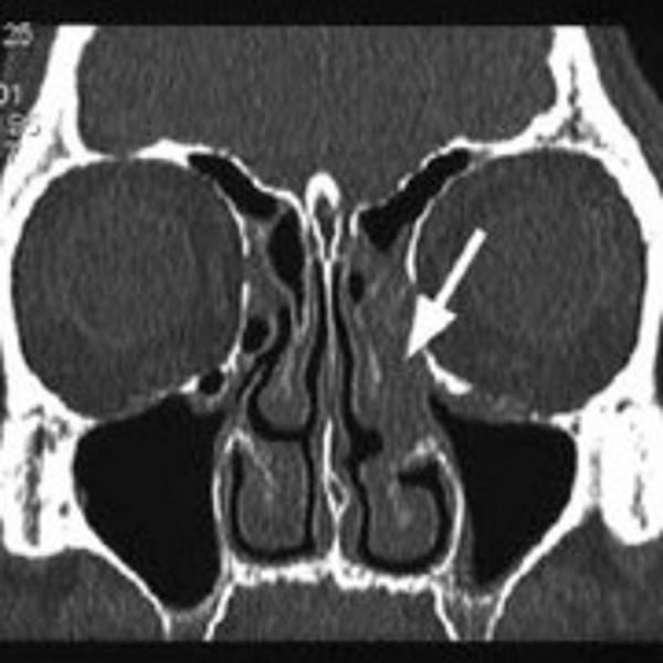
Chronische Rhinosinusitis

Die Sinusitis ist ein entzündlicher Prozess, der die Schleimhäute einer oder mehrerer Nasennebenhöhlen (NNH) involviert. Bei der chronischen Sinusitis werden Störungen der Ventilation und Drainage der NNH durch Engstellen im Bereich der Zugangswege zu den Nasennebenhöhlen verursacht. Durch eine Nebenhöhlenoperation werden diese Engstellen behoben, so dass die Belüftung und Drainage der Nebenhöhlen wieder hergestellt werden.

Polyposis nasi

Die Polyposis nasi ist eine Sonderform der chronischen Rhinosinusitis, deren Ätiologie noch weitgehend ungeklärt ist. Dabei handelt es sich bei den Nasenpolypen um gutartige Wucherungen der Nasen- und Nasennebenhöhlenschleimhaut, die vor allem Nasenatmungsbehinderung und Riechstörungen verursachen können.

Nebenhöhlenoperation

Die Nebenhöhlenoperation wird immer in Vollnarkose und in der Regel durch die Nase mit starren Optiken oder dem Mikroskop operiert, so dass keine Narben im Gesicht entstehen. Da es sich um ein anatomisch anspruchsvolles Operationsgebiet handelt – die Nebenhöhlen grenzen an die Augenhöhle und das Gehirn – kann mit Hilfe der CT gesteuerten Navigation, welche bei uns in der Klinik routinemäßig verwendet wird, das Risiko für unerwünschte Verletzungen eben dieser Organe minimiert werden.

Laserchirurgie

In unserem Haus stehen verschiedene Lasersysteme zur Verfügung. Der Laser zeichnet sich v.a. durch einen feinen Schnitt mit gleichzeitiger Blutstillung aus. Hierdurch ist es z.B. möglich, Erkrankungen des Kehlkopfes organerhaltend zu operieren. In bestimmten Fällen werden die Gaumenmandeln (Tonsillen) durch den Laser verkleinert.

Der routinemäßige Einsatz des CO2-Lasers erfolgt bei benignen und malignen Tumoren in Mundhöhle, Pharynx und Larynx endoskopisch-mikroskopisch. Auch andere Veränderungen wie Synechien des Larynx werden mit dem Laser behandelt. Aufgrund seines Absorptionsspektrums wird der Nd-YAG-Laser vorzugsweise bei kleineren vaskulären Lasionen in der Nase angewendet. Größere Gefäß-Tumore werden – soweit möglich – in der Abteilung Neuroradiologie embolisiert und anschließend mittels CO2-Laser reseziert. In Gesicht und Nase werden die Eingriffe ambulant durchgeführt, ansonsten bleiben die Patienten je nach Lokalisation und Ausdehnung für 2-10 Tage stationär.

Mikrochirurgie des Larynx

Unter Nutzung des anatomisch natürlich vorgegebenen oberen Luftweges kann über die Mundhöhle mit geeigneten speziellen Untersuchungsinstrumenten die Stimmbandebene und deren benachbarte Regionen inspiziert werden ohne Verletzung der äußeren Unversertheit des menschlichen Körpers beispielsweise durch Eröffnung des Halses. Hierdurch können Narben oder Wundheilungen, die einen längeren stationären Aufenthalt erfordern würden, vermieden werden. Durch Mikromanipulatoren oder mit Hilfe eines Lasers können unter mikroskopischer Sicht Gewebeveränderungen unter Schonung der Stimmbandfunktion entfernt oder korrigiert werden. Diese Eingriffe werden in Intubationsnarkose durchgeführt. Die stationäre Behandlungszeit beträgt in der Regel 2 – 3 Tage. Rein diagnostische Eingriffe werden ambulant durchgeführt.

Termine

Mittwoch 8.00 Uhr bis 12.00 Uhr

Terminvereinbarung
0211 – 81 17 582

Ärzteteam
Leitung: Prof. Dr. Wagenmann

Pflegeteam
Leitung: Fr. Martina Schmelter

Hinweis

Wir bieten den in unserer Klinik an den Nasennebenhöhlen operierten Patienten eine postoperative Kontrolle zur Beurteilung des Lokalbefundes und ggf. Einleitung einer weiteren lokalen Therapie an. Zur Untersuchung stehen uns neben den üblichen HNO-Spiegeluntersuchungen unterschiedliche vor allem starre Optiken zu Verfügung.


MediathekInformation und Wissen
LageplanSo finden Sie uns