Liebe Patientin, lieber Patient,
bei Ihnen ist eine nuklearmedizinische Untersuchung geplant. Im Folgenden haben wir häufig gestellte Fragen zusammengestellt, um Sie über unsere Untersuchungen zu informieren.
- Was ist eine nuklearmedizinische Untersuchung?
- Worauf soll ich vor und nach meiner nuklearmedizinischen Untersuchung achten? / Wie bereite ich mich für die Untersuchung vor?
- Wie läuft die Untersuchung ab?
- Wie viel Zeit muss ich für die Untersuchung einplanen?
- Wie groß ist die Strahlenbelastung?
- Was soll ich als Begleitperson beachten?
In der Nuklearmedizin wird mit offenen radioaktiven Stoffen gearbeitet. Mit Hilfe dieser Substanzen, die für eine kurze Zeit radioaktive Strahlung abgeben, können wir Größe, Form, Lage und Funktion verschiedener Organe bildlich darstellen. In den meisten Fällen werden diese Substanzen über die Vene verabreicht.
Die schwache radioaktive Strahlung, die dann von Ihrem Körper ausgeht, wird von einer dazu geeigneten Kamera (Gamma-Kamera oder Scanner) gemessen und bildlich dargestellt. Die so gewonnenen Bilder bezeichnet man als Szintigraphie oder PET-Bilder in Abhängigkeit der eingesetzten Strahlenart.
Diese radioaktiven Substanzen haben in der Regel eine kurze Verweildauer im Körper (biologische Halbwertszeit) und werden hauptsächlich über die Nieren ausgeschieden, weshalb wir Ihnen empfehlen, nach der Untersuchung viel zu trinken und häufig die Blase zu entleeren.
Ob spezielle Vorbereitungen nötig sind, hängt von der Art der Untersuchung ab. Angaben dazu finden Sie im weiteren Text.
Wenn Sie Unterlagen zu früheren Untersuchungen oder Bildmaterial (z.B. CD) besitzen, bringen Sie diese bitte zur Untersuchung mit.
Wenn Sie z.B. schmerzbedingt nicht ruhig liegen können (bei manchen Untersuchungen müssen Sie ca. 20-30 Minuten ruhig auf dem Rücken liegen bleiben), sprechen Sie bitte uns an. Bringen Sie bitte die Schmerzmedikamente mit, falls Sie diese sonst dafür einnehmen.
Bei schwangeren Personen sollte eine Szintigraphie nur in seltenen Ausnahmenfällen durchgeführt werden. In der Stillzeit ist eine szintigraphische Untersuchung zwar möglich, aber nach der Untersuchung sollte 24 h-Stillpause eingelegt werden. Bitte informieren Sie uns vor der Untersuchung, falls bei Ihnen eine Schwangerschaft bestehen könnte oder wenn Sie stillen.
Angehörige/Begleitpersonen dürfen nicht mit zur Untersuchung, ausgenommen Erziehungsberechtigte, ggf. Betreuenden oder Dolmetschenden.
Bei minderjährigen oder bei nicht einwilligungsfähigen Patient/innen muss ein Elternteil bzw. eine entsprechend bevollmächtigte Begleitperson für die Aufklärung bzw. Einwilligung anwesend sein. Die nicht deutschsprachigen Patient/innen müssen in Begleitung einer(s) Dolmetscher/in oder einer bevollmächtigen Person für die Aufklärung bzw. Einwilligung erscheinen.
Nach Ende der Untersuchung geht noch für einige Stunden geringe Strahlung von Ihrem Körper aus. Diese ist für die Umgebung nicht gefährlich. Dennoch sollten Schwangere und Säuglinge dieser Strahlung nicht ausgesetzt werden. Wenn Sie kleine Kinder haben, sollten Sie diese zur Untersuchung nicht mitbringen und nach der Untersuchung für einige Stunden engere Kontakte vermeiden.
Wenn Sie weitere Fragen haben, erreichen Sie uns unter folgender Telefonnummer: 0211-81-17037.
Schilddrüsenuntersuchung
Schilddrüsenszintigraphie ist eine funktionelle Diagnostik der Schilddrüse. Vor einer Schilddrüsenszintigraphie muss dem ärztlichen Fachpersonal vorliegen, welche Schilddrüsenmedikamente Sie einnehmen und in welcher Dosierung. Bringen Sie, falls Sie haben, die aktuellen Schilddrüsenlaborwerte oder sonstige Unterlagen mit, wenn Sie zum Beispiel früher an der Schilddrüse operiert worden sind oder im Krankenhaus waren.
Gegebenenfalls müssen jodhaltige Schilddrüsenmedikamente (z.B. L-Thyroxin mit Jodzusatz) sechs Wochen vor der Untersuchung abgesetzt oder umgestellt werden. Wenn Sie jodhaltige Medikamente einnehmen, informieren Sie uns bitte vorab telefonisch. Nach einer Untersuchung mit jodhaltigem Kontrastmittel (z.B. CT, Herzkatheter) ist die Schilddrüse blockiert und es kann für ca. 6-8 Wochen keine Szintigraphie durchgeführt werden.
Zur Untersuchung müssen Sie nicht nüchtern erscheinen, Sie können also davor normal essen und trinken. Bei der Szintigraphie wird kein Kontrastmittel verwendet, sondern eine geringe Menge einer radioaktiven Substanz (Technetium), die ähnlich wie Jod in die Schilddrüse aufgenommen wird. Nebenwirkungen sind nicht zu erwarten, selbst wenn Sie an einer Jodallergie leiden.
Myokardszintigraphie
Myokardszintigraphie ist eine funktionelle Diagnostik des Herzmuskels. Zur Untersuchung müssen Sie nüchtern erscheinen, d.h. 4 Stunden vorher nichts mehr essen und trinken. Ab 12 Stunden vor der Untersuchung sollten keine koffeinhaltigen Lebensmittel oder Getränke zu sich genommen werden. Betablocker sollten 2-3 Tage vor der Belastungsuntersuchung nicht mehr eingenommen werden, falls von Ihrem/r Kardiologen/in oder von uns nicht anders verordnet. Vor der Ruheuntersuchung sollten alle Medikamente inklusive Betablocker am Untersuchungstag wie üblich eingenommen werden. Bitte bringen Sie jedoch zur Untersuchung alle Medikamente mit.
Nach der Untersuchung sollte eine fettreiche Mahlzeit (zum Beispiel ein belegtes Brötchen mit Käse, Butter oder Wurst) zu sich genommen werden. Bitte daher diese Mahlzeit mitbringen.
Bitte beachten Sie das Merkblatt für weitere Informationen.
>>>> Merkblatt Myokardszintigraphie zum Download
Skelettszintigraphie
Nierenszintigraphie
Nierenszintigraphie ist eine funktionelle Diagnostik der Niere. Wenn Sie zur Untersuchung kommen, ist es wichtig, dass Sie im Vorfeld ausreichend getrunken haben (bei 70 kg Körpergewicht ca. 700 ml Wasser). Weitere besondere Vorbereitungen sind nicht erforderlich.
Bitte informieren Sie uns, wenn Sie Blutdruckmedikamente oder harntreibendes Mittel einnehmen. Teilen Sie uns bitte mit, falls Sie z.B. Unverträglichkeit gegen Furosemid haben oder Neigung zum niedrigen Blutdruck haben.
FDG-PET/CT
FDG-PET/CT ist eine funktionelle Diagnostik, die den Zuckerstoffwechsel im Körper darstellt. Die Körperzellen mit erhöhtem Zuckerstoffwechsel (z.B. Tumorzellen) können so bildlich dargestellt werden.
Für eine erfolgreiche Untersuchung ist es sehr wichtig, dass Sie dafür richtig vorbereitet sind.
Bitte achten Sie auf folgende Punkte:
1. Bitte 6 Stunden vor der Untersuchung nüchtern bleiben, in dieser Zeit sind nur Wasser und ungesüßter Tee erlaubt. Auch das Kauen von Kaugummis oder Rauchen einer Zigarette sind ebenfalls nicht erwünscht. Bei besonderen Fragestellungen kann eine zusätzliche Vorbereitung erforderlich sein, diese werden wir telefonisch mit Ihnen absprechen.
2. Die aktuellen Schilddrüsen- und Nierenwerte (TSH und Kreatinin) sind notwendig, wenn der CT-Teil der Untersuchung mit Kontrastmittel durchgeführt werden soll. Diese Werte sollten nicht älter als 14 Tage sein.
3. Bitte teilen Sie uns vorab mit, wenn Sie eine Kontrastmittelallergie oder bekannte, auch leichte, Neigung zur Schilddrüsenüberfunktion haben, da entsprechende Vorsichtsmaßnahmen getroffen werden müssen.
4. Wichtiger Hinweis für Diabetiker: Ihr Blutzucker muss im Vorfeld der Untersuchung gut eingestellt werden. Insbesondere ist zu beachten:
- Bitte informieren Sie uns, wenn Sie Metformin-Präparate einnehmen.
- Andere orale Diabetika können genommen werden (aber bitte nüchtern bleiben!).
- Lang wirksame Insuline sollten am Morgen der Untersuchung nicht eingesetzt werden.
- Kurz wirksame Insuline dürfen nur bis 4 h vor dem Untersuchungstermin gegeben werden.
- Der Blutzucker muss zur Untersuchung unter 150 mg/dl liegen.
5. Die Bildinterpretation und Bildquantifizierung der PET/CT erfolgt durch die Klinik für Nuklearmedizin und Institut für Diagnostische und Interventionelle Radiologie in enger Kooperation. Ggf. werden die Ergebnisse in einem interdisziplinären Tumorboard besprochen.
Fragen/Terminvereinbarung:
Tel +49 (0)211-81-16318
Fax +49 (0)211-81-17050
PET-Anmeldung@med.uni-duesseldorf.de
>>>>> Merkblatt FDG-PET/CT zum Download
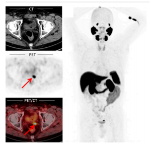
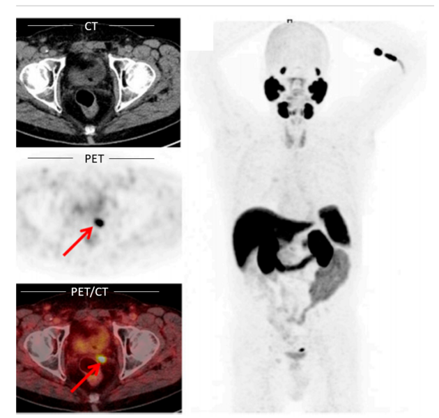
PSMA-PET/CT
PSMA-PET/CT ist eine tumorspezifische (rezeptorspezifische) Diagnostik, bei der der PSMA-Ligand Prostata-Tumorzellen im Körper detektiert und unter Verwendung der PET-Technik diese dargestellt. Zu dieser Untersuchung müssen Sie nicht nüchtern erscheinen. Die Unterlagen zu Ihrem bisherigen Krankheitsverlauf sowie evtl. die Bilder der früher durchgeführten radiologischen und nuklearmedizinischen Untersuchungen (CT-, PET/CT-Bilder auf CD) sind wichtig für die Untersuchung. Insbesondere sind folgende Informationen hilfreich für uns:
·Diagnose sowie Krankheitsverlauf: Aktueller Arztbrief mit Krankheitsverlauf und relevanten Vorerkrankungen; bitte Informationen über relevante Vor-OPs (radikale Prostatektomie, Lymphadenektomie, etc.), Bestrahlungen, Hormontherapie, etc.).
·OP-Bericht
·Histologie-Bericht (mit Gleason-Score)
·Vorherige bildgebende Verfahren mit CD und Bericht (z.B. CT- oder MRT-Voruntersuchungen, Skelettszintigrafien, etc.)
·Verlaufswerte des PSA-Wertes:
-Initialer PSA mit Datum
-Niedrigster PSA-Wert im Krankheitsverlauf (z.B: nach OP oder nach Bestrahlung) mit Datum
-Aktueller PSA-Wert
Darüber hinaus sind die aktuellen Schilddrüsen- und Nierenwerte (TSH und Kreatinin) notwendig, damit die Untersuchung mit Kontrastmittel durchgeführt werden kann. Diese Werte sollten nicht älter als 14 Tage sein.
Fragen/Terminvereinbarung:
Tel +49 (0)211-81-16318
Fax +49 (0)211-81-17050
PET-Anmeldung@med.uni-duesseldorf.de
Schilddrüsenszintigraphie
Myokardszintigraphie
Diese Untersuchung verläuft in zwei Schritten:
Der erste Termin ist eine Untersuchung unter Belastung / körperlicher Anstrengung (meist wie bei einem Belastungs-EKG auf einem Fahrradergometer), wobei auf der für Patient/innen höchstmöglichen Belastungsstufe eine gering strahlende, radioaktive Substanz in eine Armvene gespritzt wird, die sich anschließend im Herzmuskel anreichert. Nach kurzer Wartezeit sollten Sie fettreiche Mahlzeit verzehren, die Sie mitgebracht haben (siehe Vorbereitung). Ca. 45 min später werden Bilder mit einer Gamma-Kamera aufgenommen (Liegezeit ca. 15-25 min).
Der zweite Termin (entweder am gleichen oder an einem späteren Tag) erfolgt im Ruhezustand. Der Ablauf ist ähnlich wie bei der Belastungsuntersuchung, mit dem Unterschied, dass diesmal eine Belastung nicht notwendig ist (Spritzen von Radioaktivität, nach 60 min Bildaufnahme für ca. 15-25 min).
Es ist möglich, die beiden Untersuchungsabschnitte in einem Tag durchzuführen. Bitte planen Sie in diesem Fall für die Untersuchung den ganzen Tag ein.
Skelettszintigraphie
Ca. 2 bis 3 Stunden nach der Injektion einer radioaktiv markierten Substanz werden die Bilder mit der Gammakamera aufgenommen. Während der Wartezeit sollten Sie ausreichend trinken (etwa 0,5-1 Liter) und die Blase entleeren. Die Bildaufnahme im Anschluss dauert ca. 30 min, evtl. länger, wenn Einzelaufnahmen von bestimmten Körperteilen notwendig sind. Evtl. erfolgen zusätzliche Bildaufnahme mit niedrigdosierter CT, um die genaue Aussage über die Lokalisation von Krankheitsherden zu ermöglichen. Bei bestimmten Fragestellungen, häufig zur Abklärung von Entzündung, läuft die Untersuchung in mehreren Phasen ab. In diesem Fall werden die ersten Bildaufnahmen unmittelbar nach der Injektion von radioaktiver Substanz sowie erneut ca. 2 Stunden später durchgeführt.
Nierenszintigraphie
Bei dieser Untersuchung bekommen Sie eine kleine Menge einer radioaktiv markierten Substanz in die Armvene appliziert. Diese Substanz reichert sich schnell im Nierengewebe an und wird von diesem ausgeschieden. Mit Hilfe einer Gammakamera werden Bilder aufgezeichnet. Die gesamte Untersuchungsdauer ist ca. 45 min. Evtl. ist im Anschluss nach Entleerung der Harnblase eine kurze Bildaufnahme für ca. 1 min notwendig.
FDG-PET/CT
Nach einer Einwirkzeit von 60 min wird die Untersuchung durchgeführt. Während der Untersuchung mit PET-Scanner, die etwa 30 min dauert, müssen Sie ruhig liegen bleiben. In einzelnen Fällen ist eine zweite Aufnahmeserie ohne erneute Injektion nach einer Pause erforderlich. Bei Hirn-PET wird ca. 40 min nach der Injektion von FDG die Bildaufnahme durchgeführt, diese dauert ca. 10 min.
| Schilddrüsenszintigraphie: | ca. 1 Std. (inklusive Gespräch/Blutentnahme/Sonographie)* |
| Myokardszintigraphie: | ca. 2 Std./Tag * |
| Skelettszintigraphie: | ca. 3 Std.* |
| Nierenszintigraphie: | ca. 1 Std.* |
| Lungenszintigraphie: | ca. 1 Std.* |
| Nebenschilddrüsenszintigraphie: | ca. 3,5 Std.* |
| Hirnszintigraphie (Datscan): | ca. 5 Std.* |
| FDG-PET/CT: | ca. 2 Std.* |
| PSMA-PET/CT: | ca. 3 Std. * |
| DOTATOC-PET/CT | ca. 2 Std. * |
* Die o.g. Dauer für die einzelnen Untersuchungen ist die reine Untersuchungsdauer. Die zentrale Patientenanmeldung (30-60 min) ist nicht mitberücksichtigt. Hinzu kann es aus verschiedenen Gründen, z.B. aufgrund von klinischen Notfällen oder der Nuklidlieferung von externen Herstellern zur weiteren Zeitverzögerung kommen.
Die verwendeten Stoffe geben nur für kurze Zeit eine radioaktive Strahlung ab und werden größtenteils rasch aus dem Körper ausgeschieden, der Rest zerfällt im Körper. Die Strahlenbelastung bei Szintigraphien liegt in meisten Fällen in der Größenordnung der jährlichen natürlichen Strahlenbelastung (Diese beträgt in Deutschland durchschnittlich etwa 2 mSv im Jahr, und variiert je nach Wohnort, Ernährungs- und Lebensgewohnheiten zwischen 1 - 10 mSv im Jahr). Bei Untersuchungen mit zusätzlicher low-dose-CT ergibt sich eine geringe, zusätzliche Strahlenbelastung von ca. 1-2 mSv. Bei PET/CT-Untersuchung mit diagnostischer CT ist die Strahlenbelastung etwas höher.
Die Begleitperson darf die Abteilung nur dann betreten, wenn es aus medizinischen oder sonstigen Gründen (z.B. für sprachliche Unterstützung) zwingend notwendig ist. Der Bereich, in der die nuklearmedizinische Untersuchung stattfindet, wird Kontrollbereich genannt. Hier dürfen sich schwangere Personen oder Kinder generell nicht aufhalten, sollten Sie nicht selbst untersucht werden. Bitte bringen Sie zur Begleitung keine kleinen Kinder mit, da Sie nach der nuklearmedizinischen Untersuchung mit Szintigraphie oder PET (schwache) Strahlung abgeben. Über die Zeit, die Sie für die einzelnen Untersuchungen einplanen sollen, informieren Sie sich unter „Wie lange dauert die Untersuchung?“.








