Aufbau und Funktion der Nebennierenrinde
Die Nebennieren sitzen kappenartig den beiden Nieren oben auf und befinden sich im hinteren Teil des Oberbauchs in Höhe des 11. - 12. Brustwirbels. Die rechte Nebenniere ist dreieckig, die linke halbmondförmig. Sie sind ca. 3 cm lang und 5-10 g schwer.
Jede Drüse setzt sich aus zwei Teilen zusammen: Rinde - bildet die äußere Schicht und produziert die Hormone:
- Aldosteron (Mineralokortikoid)
- Cortisol (Glukokortikoid)
- Dehydroepiandrosteron (Geschlechtshormon)
Mark - stellt die innere Schicht dar und produziert die Hormone:
- Adrenalin (80%)
- Noradrenalin (20%)
- Dopamin
Tumore der Nebenniere
1) Bei der Mehrzahl der Nebennierentumore handelt es sich um gutartige Adenome, welche sich mit den folgenden Funktionsstörungen präsentieren können:
- Hyperaldosteronismus (= Conn-Syndrom)
- Vermehrte Glukokortikoidbildung (= Morbus Cushing) in Folge vermehrter Ausschüttung des Nebennierenrinden-stimulierenden-Hormons ACTH
2) Das Nebennierenrindenkarzinom ist mit einer jährlichen Inzidenz von 1 bis 2 Fällen auf 1 Mio. Einwohner sehr selten.
Auswirkungen eines Glucocorticoidüberschusses
In unserer Klinik behandeln wir alle gutartigen Nebennierenerkrankungen und Störungen der Hormonproduktion (= Steroidbiosynthesestörungen). Ein weiterer Schwerpunkt liegt in der Therapie von bösartigen Nebennierenerkrankungen:
- Nebennierenrinden-Karzinom (= Adrenokortikales Karzinom)
- Nebennierenmarktumor (= Phäochromozytom)
- Chromaffiner Tumor (= Paragangliom)
Mögliche klinische Symptome bei Nebennierentumoren
![]() | Cushing-Syndrom (= hohes Cortisol)
|
![]() | Phäochromozytom (= hohes Adrenalin)
|
Untersuchungsmethoden der Nebennieren
Da manche Erkrankungen der Nebennieren schon zu charakteristischen körperlichen Veränderungen führen, kann eine körperliche Untersuchung schon erste Hinweise auf die Genese geben.
Im Mittelpunkt der Funktionsdiagnostik steht die Bestimmung der Nebennierenhormonspiegel im Blut. Laborchemisch werden weiterhin die Spiegel der Blutsalze untersucht sowie ihre Konzentration im Urin, um die Auswirkungen von Hormoninbalancen beurteilen zu können. Zur genaueren ätiologischen Klärung stehen der CRH-Test und der Dexamethasonhemmtest zur Verfügung.
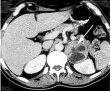
In der bildgebenden Diagnostik steht die Computertomografie an erster Stelle, da der Nachweis von Nebennierentumoren schon ab einer Größe von 5 mm gelingt und bei 2 cm hoch sensitiv ist. Im Ultraschall lassen sich erst größere Tumore nachweisen, die normale Nebenniere ist nicht zu erkennen. Die Kernspintomografie eignet sich hingegen gut für die Darstellung von Phäochromozytomen. Die selektive Blutentnahme aus den Nebennierenvenen dient der hormonellen Charakterisierung und Aktivitätsbestimmung von Tumoren. Die Szintigraphie wird vor allem beim Phäochromozytom eingesetzt.
Behandlungen von Nebennierentumoren
In Deutschland sind wir das zweitgrößte Zentrum für die Behandlung von Nebennierenrinden-Karzinomen. An unserem Klinikum besteht eine langjährige klinische und wissenschaftliche Expertise in der Therapie von Erkrankungen der Nebennieren. Wir nehmen an der weltweit größten Studie, der FIRM-ACT-Studie, als Studienzentrum teil und unterhalten darüber hinaus enge Kontakte zum Deutschen Nebennierenkarzinom-Register.
Wir legen sehr viel Wert auf eine umfassende Information und Aufklärung unserer Patienten.
Da bösartige Tumore der Nebennieren erblich sein können, untersuchen wir in einem Netzwerk den genetischen Hintergrund der Tumore.
Zusammen mit der Klinik für Allgemein-, Viszeral- und Abdominalchirurgie und der Klinik für Nuklearmedizin können wir individuell abgestimmte moderne Therapiekonzepte anbieten:
- Die Prognose steht und fällt mit der frühen Diagnosestellung sowie einer exzellenten chirurgischen Therapie und Nachbehandlung.
- Patienten mit fortgeschrittener Erkrankung erhalten des öfteren eine Chemotherapie oder werden lokal bestrahlt.
- Eine Reduktion der Tumormasse lohnt bei Hormonexzesssyndromen und verbessert die Ausgangslage für eine eventuelle Chemotherapie.
- Eine Bestrahlung von Knochenmetastasen ist ebenfalls möglich.
- Medikamentös wird mit Mitotane als Nebennieren-zerstörende Substanz in jedem Fall behandelt, auch wenn das Ansprechen interindividuell sehr verschieden ist. Die Therapie sollte einem endokrinologischen Monitoring mit Messung von ACTH, Cortisol und DHEAS unterliegen.
- Eine Therapie mit Glukokortikoiden ist von der Resttumoraktivität abhängig und sollte großzügig erfolgen.

