Einleitung

Viele Menschen in Mitteleuropa haben knotige Veränderungen der Schilddrüse im Sinne einer Struma nodosa. Nur bei einem kleinen Teil dieser Patienten handelt es sich um bösartige Schilddrüsenerkrankungen (Schilddrüsenmalignome). Bei diesen handelt es sich überwiegend um Karzinome (größer 98%), selten finden sich andere Tumorerkrankungen. Das häufigste Schilddrüsenkarzinom ist das papilläre Schilddrüsenkarzinom, seltener ist das follikuläre Schilddrüsenkarzinom. Noch seltener sind die gering differenzierten Karzinome, die anaplastischen / undifferenzierten Karzinome sowie das medulläre Schilddrüsenkarzinom.

Papilläres Schilddrüsenkarzinom

Das papilläre Schilddrüsenkarzinom ist der häufigste bösartige Tumor der Schilddrüse (75-80%). Dieser Tumor tritt überwiegend im 20. bis 25. Lebensjahr auf. Frauen sind häufiger betroffen als Männer. In der Histologie finden sich typische Kernveränderungen. Die Prognose dieser Erkrankung ist insgesamt sehr gut.

Follikuläres Schilddrüsenkarzinom

Das follikuläre Schilddrüsenkarzinom hat weltweit einen Anteil von ca. 10-15%. Frauen sind häufiger betroffen als Männer, der Gipfel der Inzidenz liegt in der 6. Lebensdekade. Es werden verschiedene Unterformen unterschieden, wie z. B. das minimal-invasive follikuläre Schilddrüsenkarzinom.

Gering differenziertes Schilddrüsenkarzinom

Beim gering differenzierten Schilddrüsenkarzinom handelt es sich um einen malignen epithelialen Tumor der Schilddrüse mit nur gering ausgebildeten morphologischen Merkmalen der Follikelzell-Differenzierung. Das gering differenzierte Schilddrüsenkarzinom befindet sich sowohl morphologisch als auch in seinem klinischen Verhalten zwischen dem undifferenziertem follikulären bzw. papillären Schilddrüsenkarzinom und dem undifferenziertem Karzinom. Frauen sind häufiger betroffen als Männer. Häufig sind Patienten oberhalb des 50. Lebensjahres betroffen.

Anaplastisches / undifferenziertes Schilddrüsenkarzinom

Bei dieser Tumoridentität handelt es sich um einen hoch malignen Tumor aus undifferenzierten Zellen bestehend. Typischerweise sind ältere Menschen betroffen. Dieser Tumor hat eine sehr schlechte Prognose mit mittleren Überlebensraten von häufiger unter 6 Monaten.

Medulläres Schilddrüsenkarzinom

Das medulläre Schilddrüsenkarzinom geht von den C-Zellen der Schilddrüse aus. Das medulläre Schilddrüsenkarzinom bildet das Polypeptidhormon Calcitonin. Circa 40 bis 50% der medullären Schilddrüsenkarzinome sind genetisch determiniert, d. h. sie treten im Rahmen von sogenannten familiären Erkrankungen, wie des MEN-2a und des MEN-2b-Syndroms auf. Sporadisch medulläre Schilddrüsenkarzinome entwickeln eher Lymphknoten und Fernmetastasen gegenüber den familiären Formen. Diese haben daher häufig eine schlechte Prognose gegenüber den familiären Formen. Einschränkend muss hinzugefügt werden, dass bestimmte familiäre Schilddrüsenkarzinome, falls nicht rechtzeitig erkannt, ebenfalls eine eingeschränkte Prognose haben.

Klinik und Diagnostik

Viele Schilddrüsenkarzinome sind im frühen Stadium symptomlos. Erst im Verlauf können lokale Beschwerden auftreten, die auf eine Verdrängung von benachbarten Strukturen oder Infiltrationen zurückzuführen sind. Mögliche Symptome sind Heiserkeit, Schluckstörungen oder auch eine obere venöse Einflussstauung. Bei metastasierten medullären Schilddrüsenkarzinomen können auch chronische Diarrhoen und ein Gewichtsverlust eintreten. Ab einer Schilddrüsenknotengröße von 1,5 bis 2 cm sind die Knoten häufig gut palpabel.

Labordiagnostik

Für die Labordiagnostik des differenzierten Schilddrüsenkarzinome spielt das Thyreoglobulin eine untergeordnete Rolle. Es ist für die Primär-Diagnostik nicht geeignet, sondern wird nur in der Nachsorge von Patienten mit differenzierten Schilddrüsenkarzinome eingesetzt. Das Calcitonin ist ein sensitiver und spezifischer Marker für die Primär-Diagnostik und postoperative Nachsorge des medullären Schilddrüsenkarzinoms. Es korreliert mit der Tumormasse. Die 2-Jahres-Verdopplungszeit des Calcitonins ist ein sehr guter Parameter, um Patienten mit schneller wachsendem medullären Schilddrüsenkarzinom zu identifizieren.

Bildgebende Diagnostik

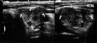
Die Sonographie mit hoch auflösenden Schallköpfen (7,5 bis 12,5 MHz mit Duplex) stellt heute bereits wenige Millimeter große Herdbefune präzise dar. Es existieren sonographische Kriterien, auf deren Basis, maligne Schilddrüsenknoten mit sehr hoher Sicherheit identifiziert werden können. Hierzu gehören unter anderem die Hypoechogenität, die unregelmäßige Randbegrenzung, Mikroverkalkungen sowie eine zentral verstärkte Vaskularisation.

Mittels der Schilddrüsenszintigraphie können minderspeichernde Knoten von normal speicherndem Gewebe bzw. mehranreichernden Knoten identifiziert werden. Bei kalten Knoten ist zwingend eine weitere Diagnostik notwendig, insbesondere die Durchführung einer Feinnadelaspirationsbiopsie.

Feinnadelaspirationsbiopsie:

Auf der Basis einer Feinnadelpunktion kann mit hoher Sicherheit ein Schilddrüsenkarzinom diagnostiziert werden. Wie bei jeder Untersuchungstechnik, so gibt es aber auch in diesem Fall falsch negative und sehr selten falsch positive Befunde.

Operative Therapie

Im Regelfall wird bei der Verdachtsdiagnose auf ein Schilddrüsenkarzinom eine totale Thyreoidektomie, d. h. eine komplette Schilddrüsenentfernung durchgeführt. Außerdem werden regionäre Lymphknoten mit entfernt. Die Ausnahme stellt ein sog. papilläres Schilddrüsenkarzinom mit einer Größe von weniger als 1 cm dar. In diesem Falle ist eine Hemithyreoidektomie häufig ausreichend. Einschränkend muss hinzugefügt werden, dass die Diagnose eines weniger als 1 cm großen papillären Schilddrüsenkarzinoms häufig nicht vor einer Operation gestellt wird.

Radiojod-Therapie

Die differenzierten (papillären, follikulären) Schilddrüsenkarzinome sind häufig einer Radiojodtherapie zugänglich. Voraussetzung hierfür ist eine komplette Thyreoidektomie. Ziele der Radiojodtherapie sind die prophylaktische Entfernung von postoperativ noch vorhandenem Schilddrüsengewebe. Bei dem verwendeten Radionuklid (Jod 131) handelt es sich um einen sog. Beta-Strahler mit sehr kurzen Reichweiten (maximal 2 mm im Gewebe). Aus diesem Grunde können hohe Tumordosen verabreicht werden. Für die Durchführung einer Radiojod-Therapie ist eine stationäre Aufnahme in der hiesigen Klinik für Nuklearmedizin notwendig.

MediathekInformation und Wissen
LageplanSo finden Sie uns