Das Phäochromozytom ist eine Tumor der chromaffinen Zellen des sympathischen Nervengewebes (des Nebennierenmarkes) und mit einer Inzidenz von 1/100.000 Personen/Jahr relativ häufig. Es handelt sich um einen hormonproduzierenden Tumor, der die Katecholamine Noradrenalin und Adrenalin bildet. Diese werden in die Normetanephrine bzw. Metanephrine umgewandelt.
In 85-90% der Fälle ist ein Katecholamin-produzierender Tumor im Nebennierenmark lokalisiert, kann jedoch auch in den Nervenzellen des thorakalen und abdominalen Grenzstranges (Paraganglien) sowie im Glomus caroticum vorkommen. In ca. 10% der Fälle treten die Tumore auch beidseitig auf, und sind dann häufig hereditärer Genese. Etwa 10% der Phäochromozytome sind maligne.
Histologie des Nebennierenmark
Das Phäochromozytom tritt isoliert oder im Rahmen von Genmutationen auf und ist bis zu 40% hereditärer Genese. Hierzu zählen das MEN 2-Syndroms (= multiple endokrine Neoplasie), das von-Hippel-Lindau-Syndrom und die Neurofibromatose Typ 1 (Morbus Recklinghausen).
| Neurofibromatose von Recklinghausen | |
![]() | ![]() |
| Patientin mit multiplen Neurofibromen (bei Z..n. beidseitiger Entfernung eines Phäochromozytoms | |
Symptome bei Phäochromozytom
Der Patient klagt vor allem über einen anfallsartigen Bluthochdruck (= paroxysmale Hypertonie) oder eine dauerhafte Blutdruckerhöhung (persistierende Hypertonie; v.a. bei Kindern). Während der Phasen des erhöhten Blutdruckes treten Kopfschmerzen, Schwindel, Herzrasen und Schwitzen auf. Weitere Zeichen sind blasse Haut, Blutzuckererhöhung (= Hyperglykämie), eine Vermehrung der weißen Blutkörperchen und Gewichtsverlust.
Diagnostik des Phäochromozytoms
Die Verdacht einer solchen Erkrankung wird zunächst durch die charakteristischen klinischen Symptome gestellt. Besonders auffällig sind sporadisch auftretende Bluthochdruckattacken, bei denen die gängigen medikamentösen Therapien nicht ansprechen.
Für die laborchemische Untersuchung stehen eine Reihe von Verfahren zur Verfügung. Dies sind in erster Linie die Bestimmung von fraktionierten Nor- und Metanephrine im Plasma. Ähnlich sensitiv ist die Bestimmung beider Abbauprodukte im Urin. Die quantitative Bestimmung der Metanephrine (Katecholamine) im Plasma ermöglicht die Diagnosestellung. Wenn die Metanephrine im Plasma wiederholten erhöht sind, besteht ein starker Verdacht auf ein Phäochromozytom. Die 4-fache Erhöhung der Nor-/Metanephrine geht mit einer nahezu 100%-igen Sensitivität / Spezifität einher. Es ist zu beachten, dass es zu falsch-hohen Werten unter verschiedenen Begleitmedikationen kommen kann.
Bei klinischem Verdacht auf Phäochromozytom und grenzwertigen Katecholaminwerten wird zur Sicherung der Diagnose ein pharmakologischer Test (Clonidin-Hemmtest) durchgeführt.
Wenn die Bestimmung der Plasma-Metanephrine wiederholt ein positives Ergebnis bringt, muss eine weiterführende Lokalisationsdiagnostik durchgeführt werden. Dies geschieht mittels bildgebender Verfahren wie der Sonografie und Computertomografie oder der Magnetresonanztomografie. Die nuklearmedizinische Methode der MIBG-Szintigrafie (Metaiodobenzylguanidin), bei der es sich um eine Substanz handelt, die sich in den betroffenen chromaffinen Zellen des Phäochromozytoms anreichert, dient zur Lokalisation von extraadrenal (= außerhalb der Nebennieren) gelegenen Tumoren. Für die Detektion von Metastasen stellt die sensitivste Methode die 6-[18F]-Fluorodopamin-PET (= Positronenemissionstomografie) dar. Die neueste und zuverlässigste nuklearmedizinische Methode zur Phäochromzytomdiagnostik ist das so genannte DOPA-PET.
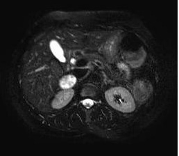
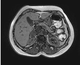
| Bildgebende Verfahren beim Phäochromozytom | |
![]() | ![]() |
![]() | ![]() |
Therapie des Phäochromozytoms
Die Therapie erfolgt durch die operative Resektion. Mindestens eine Woche vor dem Eingriff wird der Blutdruck medikamentös eingestellt, da es bei der operativen Entfernung des Tumors zu einer starken Katecholaminfreisetzung kommen kann, die mit einer lebensgefährlichen Steigerung des Blutdrucks einhergeht.
Bei einem einseitigen Phäochromozytom führt man eine totale Entnahme der Nebenniere dieser Seite durch, im Rahmen eines MEN-Syndroms entfernt man beidseitig lediglich das Nebennierenmark. Bei 80 % der Patienten kommt es postoperativ wieder zu einer Normalisierung des Katecholaminspiegels und des Blutdrucks.
Bei Metastasen führt man eine systemische MIBG-Therapie durch. Eine weitere seltene Therapieoption ist die Gabe von Octreotid.





