Endokrine Tumoren

Endokrine Karzinome sind Tumore, die von den Hormon-sezernierenden Drüsen des Körpers ausgehen und die Schilddrüse, die Nebennieren und die Hirnanhangsdrüse mit einschließen. Des Weiteren gibt es eine Vielzahl von verschiedenen Tumoren des neuroendokrinen Systems wie zum Beispiel Insulinome, Gastrinome, medulläre Schilddrüsenkarzinome, Tumore der Nebenschilddrüsen und Phäochromozytome. Das Wort Karzinoid ist ein altes Synonym und steht für die neuroendokrinen Karzinome. Da diese Drüsen in verschiedenen Teilen des Körpers lokalisiert sind und Hormone produzieren, die eine Vielzahl an körperlichen Funktionen regulieren, können endokrine Karzinome umfangreiche Auswirkungen haben. Die häufigsten endokrinen Malignome sind Tumore der Schilddrüse.

Schilddrüsenknoten/ -tumore

Nebenschilddrüsen-Adenome

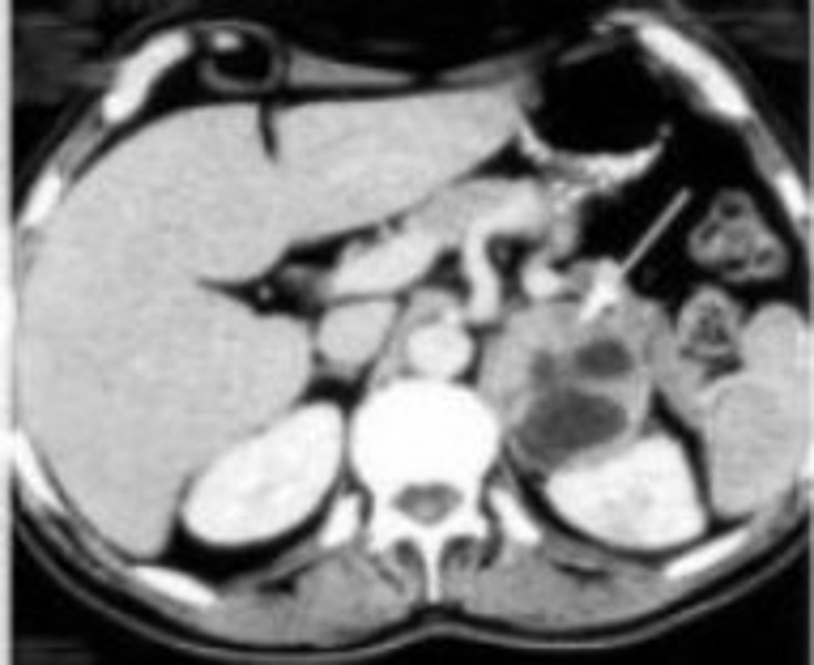
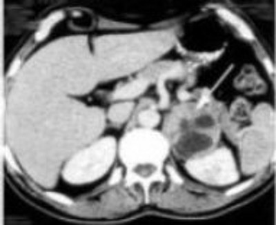
Nebennierenrinden-Tumore

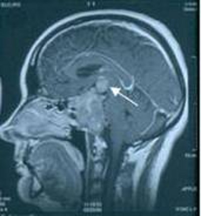
Hypophysenadenome

Phäochromozytome / Paragangliome

Gastro-entero-pankreatische neuroendokrine Tumore

MediathekInformation und Wissen
LageplanSo finden Sie uns