Cardiovascular Magnetic Resonance (CMR)
Kardiovaskuläre Magnetresonanztomographie (Cardiovascular Magnetic Resonance, CMR) in der Kardiologie am UKD
Die CMR Bildgebung der Kardiologie wurde im Jahre 2011 implementiert und ist neben einer Vielzahl an Forschungsprojekten fester Bestandteil des klinischen Alltags. Mit mehr als 1600 Untersuchungen pro Jahr wird ein großes Spektrum der kardialen Bildgebung abgedeckt. Neben der Diagnostik rund um die koronare Herzerkrankung („Stress-MRT“, nach Herzinfarkt), die mit ca. 40% der Gesamtuntersuchungszahl die häufigste Indikation darstellt, sind vor allem die Diagnostik der entzündlichen (ca. 20%) sowie der nichtentzündlichen (ca. 5%) Kardiomyopathien sowie die prä- und postinterventionelle Klappenevaluation (ca. 5%) Schwerpunkte des CMR. Jedoch werden auch seltene Erkrankungen, wie angeborene komplexe Herzfehler und kardiale Tumore, regelmäßig untersucht.
Die Kardiologie des UKD ist zur CMR-Weiterbildung von der Ärztekammer Nordrhein bevollmächtigt und als Qualifizierungsstädte der Zusatzqualifikation CMR von der DGK zertifiziert. Es besteht eine Vollzeitbesetzung durch einen Arzt mit Akkreditierung. Dadurch werden wir dem hohen Anspruch einer fachlichen Versorgung auf internationalem Niveau gerecht. Die Implementierung des CMRs am UKD als integraler Bestandteil der Kardiologie sowie der hohe Vernetzungsgrad innerhalb der Funktionsabteilungen optimiert Patientenpfade, verkürzt Wartezeiten, und ermöglicht eine umfassende sowie effiziente Diagnosefindung. Stets werden die neuesten Forschungssequenzen der Abteilung getestet und angewendet.
Das CMR kommt innerhalb aller 4 Säulen in der Kardiologie, aber auch in der Angiologie und Pneumologie zum Einsatz:
1. Herzinsuffizienz
Der entscheidende Vorteil der CMR-Diagnostik gegenüber anderen Verfahren liegt in der guten Beurteilbarkeit myokardialer Texturstörungen, sowohl entzündlicher wie nicht-entzündlicher Genese. Die CMR kommt insbesondere dann zur Anwendung, wenn die klassischen Untersuchungsverfahren wie Ruhe-EKG, Belastungs-EKG bzw. Echokardiographie nicht weiterführend sind und eine genauere Abklärung erforderlich ist. Die CMR hat gegenüber anderen Verfahren, wie zum Beispiel der Computertomographie, den Vorteil, dass der Patient keiner Strahlung ausgesetzt ist und verschiedenste Aspekte des Herzens gleichzeitig untersucht werden können.
Zur Abklärung einer Herzmuskelentzündung werden verschiedene CMR-Sequenzen angewandt, um Inflammation im Herzmuskel darzustellen. Ferner kann mit CMR die Differenzierung zwischen den verschiedenen Kardiomyopathien oder Herztumoren erfolgen. Durch Verwendung neuer Mapping-Verfahren kann hoch-sensitiv eine Schädigung des Myokards oder eine Vergrößerung des Extrazellulärraumes erkannt werden.
Diagnostik der Herzmuskelentzündung
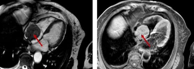
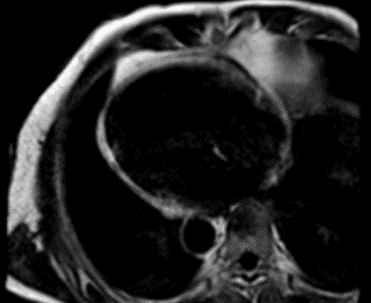
Diagnostik von Herztumoren
2. Koronare Herzerkrankung
Eine der Haupt-Indikationen für die CMR ist die Ischämiediagnostik mittels Kontrastmittel-gestützter Perfusions- oder Kontraktionsuntersuchung. Bei Patienten mit mittlerer Vortest-Wahrscheinlichkeit kann hiermit mit hoher Sensitivität und Spezifität die hämodynamische Relevanz einer Koronarstenose erkannt werden. Somit ist eine Herzkatheteruntersuchung sinnvoll, wenn eine Durchblutungsstörung ohne myokardiale Narben vorliegt.
Die Belastungssituation kann sowohl medikamentös (i.d.R. durch das gut verträgliche Regadenoson, oder Dobutamin) als auch durch eine physikalische Belastung mit einem modernen MRT-Ergometer durchgeführt werden. Unser Herz-MRT-Zentrum verfügt über ein MRT-kompatibles MRT-Ergometer, mit dem wir unsere Patienten in der MRT-Röhre liegend belasten und gleichzeitig untersuchen können.
Zusätzlich wird in der klinischen Routine das CMR zum Vitalitätsnachweis nach einem akuten oder chronischen Myokardinfarkt eingesetzt. In Abhängigkeit von der Ausdehnung der Myokardnarbe (transmural vs. subendokardial) können weitere therapeutische Maßnahmen abgeleitet werden (konservatives Procedere oder Herzkatheteruntersuchung).
MRT-Ergometer Diagnostik der koronaren Herzerkrankung

Herzinfarktdarstellung

3. Strukturelle Herzerkankungen (SHD) und angeborene Herzfehler
Mit Hilfe von planimetrischen Verfahren (Bestimmung der Klappenöffnungsfläche) sowie Phasen-Kontrast-Sequenzen kann sowohl die morphologische als auch funktionelle Quantifizierung von Herzklappenerkrankungen (z.B. Aortenklappen-Erkrankungen) erfolgen. Nach erfolgter minimalinvasiver Klappenimplantation kann die Funktion der Herzklappe sowie die Struktur des Myokards verlaufsbeurteilt werden.
Die 3-dimensionale Darstellung des Herzens und der großen abgehenden Gefäße ermöglicht es dem CMR, komplexe anatomische Strukturen bei Patienten mit angeborenen Herzfehlern darzustellen. So kann in fast allen Fällen ein umfassender Aufschluss über anatomische und funktionelle Zusammenhänge gegeben werden. So stellt grade bei vielen angeborenen komplexen Herzfehlern das CMR den Goldstandard in der Diagnostik dar. Zudem sind Patienten mit angeborenen Herzfehlern häufig auf lebenslange genaue Verlaufskontrollen angewiesen. Diese können beliebig oft und strahlungsfrei mit dem CMR durchgeführt werden.
Vor und nach Aortenklappenersatz Darstellung großer Gefäße

Angeborene Herzfehler

4. Rhythmuserkrankungen
Zur Verlaufskontrolle nach Pulmonalvenenisolation (PVI) als Therapie des Vorhofflimmerns werden die Einmündungen der Pulmonalvenen in den linken Vorhof mittels 3D-Angiographie beobachtet. Bei ventrikulären Herzrhythmusstörungen können strukturelle Ursachen mittels Narbendetektion erkannt werden. Darstellung von Vorhoffett und der Größe, Funktion des Vorhofes dienen zur Beurteilung der Wahrscheinlichkeit von Vorhofflimmer Rezidiven.
Pulmonalvenen Epikardiales Fett

Lange Zeit galt eine CMR Untersuchung bei Patienten mit implantierten Herzschrittmachern oder Defibrillatoren als nicht sicher. Es konnte jedoch gezeigt werden, dass viele Patienten mit Implantation dieser Geräte unter Beachtung besonderer Vorkehrungen sehr sicher mittels MRT untersucht werden können. Wird die Indikation zu einer CMR Untersuchung nach sorgfältiger Abwägung der Indikation und anderer diagnostischer Verfahren gestellt, erfolgt zunächst eine gründliche Prüfung der Voraussetzungen für die CMR Untersuchung. Bedingt CMR-sichere (CMR-conditional) Herzschrittmacher oder Defibrillatoren sind unter bestimmten Rahmenbedingungen getestet. Somit können assoziierte Risiken wie Elektrodenerwärmung und/oder unterwünschte Herz-Stimulationen so weit minimiert werden, dass das Restrisiko nach Zulassung durch die Behörden als vertretbar klein im vergleich zum Nutzen der Untersuchung angesehen wird. Dies sollte jedoch für jeden Einzelfall geprüft werden. Das Auftreten von Komplikationen, zum Beispiel behandlungspflichtige Herzrhythmusstörungen, Elektrodendysfunktion mit der Notwendigkeit zur Revision, kann so minimiert werden und ist nach aktuellen Studien extrem niedrig. Die in Einzelfällen beobachteten Effekte zeigten sich ebenfalls als nicht Patientensicherheit gefährdend.
Ablauf einer Untersuchung mit Herzschrittmacher oder implantierbarem Defibrillator:
- Strenge Prüfung der Indikation und Voraussetzungen für eine CMR-Fähigkeit des Schrittmachers/Defibrillators
- Umprogrammierung in den CMR-Modus kurz vor CMR Untersuchung in der hiesigen Schrittmacherambulanz
- Durchführung der Untersuchung unter Berücksichtigung der Vorgaben des Herstellers zur Durchführung einer CMR Untersuchung mit Herzschrittmacher/Defibrillator
- Abfrage des Gerätes nach der Untersuchung und erneute Programmierung in den vor CMR eingestellten Modus
- Optional: erneute Kontrolle des Systems nach 3 Monaten
Das CMR-Zentrum ist von der Deutschen Gesellschaft für Kardiologie (DGK) als Ausbildungsstätte für das Kardio-MRT zertifiziert. Ebenfalls verfügt das CMR über eine Weiterbildungsermächtigung durch die Ärztekammer Nordrhein für die Weiterbildung zur Zusatzbezeichnung Kardio-MRT. Diese wird geleitet durch Herrn Dr. med. Oliver Maier und Frau Dr. med. Christine Quast.
Die Leiter des CMR PD Dr. med. Mareike Cramer und Dr. med. Fabian Nienhaus sind von der Europäischen Gesellschaft für Kardiologie (ESC) zertifiziert (Level III). PD. Dr. med. Mareike Cramer ist ebenfalls über die Deutsche Gesellschaft für Kardiologie (DGK) als stellvertretende Leiterin der Qualifizierungsstätte (Leiter Prof. Dr. med. Malte Kelm) für das Kardio-MRT (Level III) bestellt.
Bei Interesse an einer Ausbildung/Hospitation am Kardio-MRT, schreiben Sie uns gerne an.
Symposium
Kardio-MRT im klinischen Alltag und in der modernen Therapie in der Herzinsuffizienz
Mittwoch 21.05.2025, Haus der Universität
Kontakt
Kardio-MRT
Klinik für Kardiologie, Angiologie und Pneumologie
PD Dr. med. Mareike Cramer
Dr. med. Oliver Maier
Dr. med. Fabian Nienhaus
Dr. med. Christine Quast
Prof. Dr. med. Amin Polzin - Leiter der kardialen Magnetresonanztomographie
Moorenstraße 5
40225 Düsseldorf
Telefon: +49211/81-08090
Fax: +49211/81-18804