Kontrastmittelgestützte Perfusionsuntersuchungen

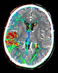
  • Kontrastmittelgestützte Perfusionsbildgebung des Gehirns mittels MRT und CT.
  • Ermittlung und Validierung neuer Parameter, welche aus den kontrastmitteldynamischen MRT-Untersuchungen gewonnen werden.
  • Entwicklung und Evaluierung neuer Berechnungsmethoden für PWI Parameterbilder.
  • In Zusammenarbeit mit der Neurologischen Klinik: Verlaufskontrolle bei neuen Therapieansätzen.
  • Volumetrische Auswertungen von PWI-Parameterbildern: "DWI - PWI Mismatch-Konzept".
  • Kontrastmittelgestützte Perfusionsbildgebung innerer Organe und des Knochenmarks.
  • Dynamische MRT-Mammographie.
  • Entwicklung von Algorithmen zur Analyse dynamischer Schnittbildverfahren.

 

 

zurück zur Arbeitsgruppe medizinische Physik

MediathekInformation und Wissen
LageplanSo finden Sie uns