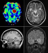
Arterial Spin Labeling - ASL
- Untersuchungen der Hirn-Perfusion bei den Patienten mit ischämischen Insulten ohne Applikation von Kontrastmittel.
- Differentialdiagnostik bei unklaren, zerebralen Raumforderungen.
- ASL Untersuchungen zur Analyse der Nierenperfusion bei den Patienten mit Transplantatnieren.
