Craniopharyngeome

Ein Kraniopharyngeom (syn. Kranipharyngiom, engl.: craniopharyngioma) ist ein benigner (gutartiger) Hirntumor, der kongenital (d.h. bei Geburt bereits angelegt) ist. Der Tumor entsteht durch eine embryonale Fehlentwicklung im Bereich im der hormonproduzierenden Hirnanhangdrüse, welche in einer kleinen Knochengrube (Sella turcica) liegt. Ein Kraniopharyngeom kann sich innerhalb dieser Grube befinden (intrasellär) oder ein Wachstum darüber hinaus aufweisen (suprasellär). Das Wachstum erfolgt langsam verdrängend, wobei der Tumor typischerweise mit den an der Schädelbasis vorkommenden Gefäßen und Hirnnerven stark verwachsen ist. Oft sind sie Karniopharyngeome zystisch und enthalten eine ölige Flüssigkeit mit Zellschutt und Verkalkungen.

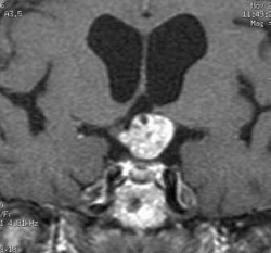
MRT eines intra- und suprasellären Kraniopharyngeoms mit dem typischen unregelmäßigen Aspekt. Man sieht gut die zentrale Lage im Bereich der Hypophyse und des Sehapparates

Kraniopharyngeome stellen etwa 2-3 % der intrakraniellen primären Tumore dar. Sie kommen gehäuft bei Kindern und Jugendlichen vor, mit einem Häufigkeitsgipfel zwischen 5-10 Jahren, wobei beide Geschlechter gleichermaßen betroffen sind. Trotz des eigentlich gutartigen histologischen Aspekts können in sehr seltenen Fällen Metastasen auftreten.

Symptome

Typischerweise fällt dieser Tumor durch Sehstörungen oder Hormonstörungen auf. Unspezifische Symptome sind die des erhöhten Hirndruckes (Kopfschmerz, Übelkeit, Erbrechen). Meist schwieriger zu erkennen, da sich unterschwellig über einen langen Zeitraum einstellend, sind psychische Störungen oder Entwicklungsstörungen der geistigen Reife.

Diagnostik

Die bildgebenden Verfahren der Wahl sind beim Kraniopharyngeom die Kernspintomografie (auch Magnetresonanztomografie oder MRT) und die Computertomographie (CT). Ferner sind meist eine gründliche Augenärztliche Untersuchung, eine komplette Hormonkontrolle sowie neuro-psychologische Tests notwendig.

Therapie

Allgemein ist die neurochirurgische Entfernung des Tumors die Therapie der Wahl. Dies geschieht klassischerweise in mikrochirurgischer Technik. Heutzutage besteht in manchen Fällen die Möglichkeit der Endoskopischen Technik. Eventuell kann auch eine Strahlentherapie oder Radiochirurgie (Gamma-Knife) durchgeführt werden, insbesondere wenn der Tumor nicht komplett chirurgisch entfernt werden kann oder wenn es zu einem Rezidiv kommt. In Einzelfällen kann auch intra-tumorale Chemotherapie indiziert sein. Bei Kindern und Jugendlichen muß jedoch mit Strahlen- und Chemotherapie so lang wie möglich gewartet werden, um eine möglichst ungestörte Entwicklung zu gewährleisten.

Prognose

Im Allgemeinen ist die Prognose gut, wenn der Tumor frühzeitig erkannt und richtig behandelt wird. Ausschlaggebend für die Prognose ist vor allem das Ausmaß der bereits aufgetretenen neurologischen und hormonellen Störungen und wie gut der Tumor chirurgisch entfernt werden kann.

MediathekInformation und Wissen
LageplanSo finden Sie uns