Akustikusneurinom (syn. Vestibularisschwannom)

Ein Akustikusneurinom (syn.: Vestibularis-Schwannom, engl.: acoustic neurinoma or neuroma) ist ein meistens benigner (gutartiger) Hirntumor. Er entsteht durch die Entartung von Schwannzellen, die die Nervenscheide des achten Hirnnerven bilden. Der achte Hirnnerv, auch Nervus vestibulo-cochlearis gennant, besteht aus zwei Anteilen. Ein Anteil ist für den Gleichgewichtssinn, der andere für das Hören verantwortlich. Der achte Hirnnerv wird vom siebten Hirnnerv begleitet, dem sog. Fazialisnerven, welcher für die Bewegungen der Gesichtsmuskulatur verantwortlich ist. Der 7. und 8. Hirnnerv verlassen den Schädel durch den inneren Gehörgang. Dies ist der Ausgangspunkt der Akustikusneurinome, von wo sie langsam in den Kleinhirnbrückenwinkel, einer Nische zwischen Kleinhirn und Hirnstamm, hineinwachsen und schließlich auf den Hirnstamm drücken. Dieser Wachstums-prozess kann mehrere Jahre in Anspruch nehmen.

Akustikusneurinome stellen etwa 10% der primären intrakraniellen Tumoren dar. Meist treten sie in der 4. und 5. Lebensdekade auf und kommen etwas häufiger beim weiblichen Geschlecht vor. Außer bei der seltenen Erbkrankheit Neurofibromatose, bei der die Tumoren typischerweise schon bei Kindern bzw. jungen Erwachsenen auftreten, gibt es keinen Hinweis auf eine Vererblichkeit.

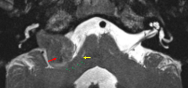
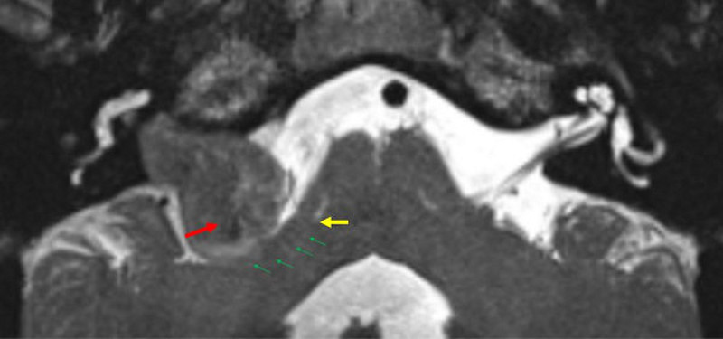
OBEN: MRT mit Akustikusneurinom, Mitte: Sicht durch das OP-Mikroskop, Unten: Billdschirm des Neuromonitoring

Symptome

Typischerweise werden sie aufgrund zunehmender einseitiger Schwerhörigkeit (im Gegensatz zur beidseitig auftretenden Altersschwerhörigkeit) oder einer Lähmung der Gesichtsmuskulatur (Fazialisparese) erkannt. Andere mögliche Symptome können sein: starke Kopfschmerzen, Tinnitus (störende Ohrgeräusche), Schwindel,  Gleichgewichtsstörungen, Gehstörungen, Taub-heitsgefühl des Gesichts, Übelkeit und Erbrechen, sowie in sehr seltenen Fällen zu einem lebensbedrohlichen Zustand aufgrund eines sog. akuten Hydrozephalus ("Wasserkopf").

Diagnostik

Das bildgebende Verfahren der ersten Wahl ist beim Schwannom die Kernspintomografie (auch Magnetresonanztomografie oder MRT), da dieses Verfahren den größten Weichteilkontrast besitzt. Ergänzend werden meist eine Computertomographie (CT), sowie Hör- und Gleichgewichtsuntersuchungen durchgeführt.

Therapie

Mögliche Therapieoptionen sind: Beobachtung ("wait and scan"), neurochirurgische Entfernung und Strahlentherapie oder Radiochirurgie (Gamma-Knife). Die Entscheidung hängt u.a. von Größe des Tumors, Alter und Allgemeinzustand des Patienten ab. Wichtig für die Entscheidung sind auch das Hörvermögen und die Funktion des Fazialisnerven. Kleine Akustikusneurinome ohne Wachstumstendenz bei älteren Personen müssen nicht unbedingt entfernt werden.

Prognose

Die Prognose ist für einseitige Akustikusneurinome im Allgemeinen gut, vorausgesetzt, der Tumor wird frühzeitig erkannt und richtig behandelt. Trotz seines eigentlich gutartigen Charakters kann der Tumor unter Umständen mit dem Leben unvereinbar sein, wenn er nämlich so groß wird, dass er auf den Hirnstamm drückt und somit Vitalfunktionen wie Atmung, Herz-Kreislauf sowie das Wachsein stört. Die Prognose im Rahmen der seltenen Neurofibromatose Typ 2 kann unter Umständen nicht so günstig sein, da der Tumor hier typischerweise beidseits auftritt. Außerdem treten bei dieser Krankheit noch andere Tumoren auf.

MediathekInformation und Wissen
LageplanSo finden Sie uns