Welche Therapieverfahren bieten wir in unserer Klinik an:
Sämtliche hier aufgeführten Therapieverfahren sind schonende Therapieoptionen für die unterschiedlichsten Krankheitsbilder. Allen gemeinsam ist, dass man zuvor Testen kann, ob eine schmerzlindernde Wirkung eintritt. Weiterhin führen sie zu keinen dauerhaften Veränderungen im Körper.
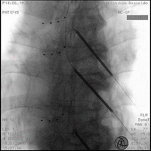
Spinal Cord Stimulation (SCS)
Dieses Verfahren ist die „klassische“ Anwendung der Neuromodulation. Mit dieser gezielten Therapie lassen sich sehr viele Schmerzsyndrome gut behandeln. Es werden hierbei operativ ein bis zwei Elektroden in den Rückenmarkskanal gelegt. Die Anlage kann über die gesamte Länge der Wirbelsäule erfolgen, von der Hals- bis zur Lendenwirbelsäule. Die Stimulation kann über zwei Arten erfolgen: zum einen als angenehmes Kribbeln im betroffenen Areal oder als sogenannte „stumme“ Stimulation, wobei der Schmerz gelindert wird, die Stimulation aber vom Patienten nicht wahrgenommen wird.
Dorsal Root Ganglion Stimulation (DRG)
Mit diesem Verfahren können gezielt Krankheiten und Schmerzzustände behandelt werden, bei denen ein einzelner, oder wenige Nerven betroffen sind. Sie sind die beste Option, wenn einzelne Körperregionen betroffen sind, um hier den Schmerz gezielt zu Behandeln. Hierbei wird eine bis maximal vier Elektroden direkt auf die betroffene Nervenwurzel im Rückenmarkskanal gelegt.

Beispiele für die behandelbaren Krankheitsbilder: isolierte Hüft-, Knie-, Fuß- oder Leistenschmerzen, häufig nach Operation oder Prothesen. Ebenfalls kann sehr gut das CRPS/M. Sudek, die Herpes Zoster Neuralgie und die Intercostalneuralgie behandelt werden.
Periphere Nervenfeldstimulation (PNFS)
Die Elektroden liegen hier im Unterhautfettgewebe direkt im schmerzhaften Bereich. Der große Vorteil ist die Möglichkeit zur dauerhaften Anwendung der Stimulation, verglichen etwa mit dem TENS Gerät. Durch die Stimulation wird ein angenehmes Kribbeln direkt im schmerzenden Areal ausgelöst und der Schmerz unterdrückt. Anwendbar ist das Verfahren an sämtlichen Bereichen des Körpers, sprichwörtlich von Kopf bis Fuß.
Okzipitalnervstimulation (ONS)
Die ONS stellt eine besondere Variante der peripheren Nervenfeldstimulation dar. Die Elektroden für die Stimulation liegen hier im Unterhautfettgewebe des Nackens über dem Austrittspunkt des großen Hinterhauptnervs (Okzipitalnerv). Der eigentliche Schrittmacher kann an der Brust oder am Gesäß platziert werden. Die Stimulation braucht häufig mehrere Wochen, bis eine deutliche Schmerzreduktion eintritt. Über die Stromimpulse können verschiedene Kopf- und Nackenschmerzarten behandelt werden, der Einsatz erfolgt in erster Linie bei der chronischen Migräne und dem Clusterkopfschmerz.
Die Wirkweise der Stimulation wird durch Beeinflussung der elektrischen Regulation im Hirnstamm erklärt. Die Schmerzsignale werden durch die dauerhafte Stimulation verändert und überdeckt, die dauerhaften Schmerzsignale werden zu zunehmend unterdrückt.
Schmerzpumpen (sog. Intrathekale Schmerztherapie)
Bei schweren chronischen Schmerzsyndromen sind häufig sehr hohe Dosierungen von Medikamenten notwendig, welche dann ein entsprechendes Spektrum an Nebenwirkungen bieten. Ebenfalls reicht die Dosis meist nicht aus, um den Schmerz adäquat zu beherrschen.
Eine Alternative besteht hier mittels intrathekaler Abgabe der Medikamente. Um die Nebenwirkungen zu minimieren, aber gleichzeitig eine hohe wirksame Dosis zu erreichen, ist es möglich, gewisse Medikamente direkt in das Nervenwasser abzugeben. Der therapeutische Effekt ist zwischen 100 bis 300 mal stärker als eine Tablette, die Nebenwirkungen sind aber viel geringer. Vor allem Morphiumpräparate können so verabreicht schon in sehr niedriger Dosis eine deutliche Beschwerdelinderung erbringen.
Die Patienten erhalten operativ eine kleine Pumpe unter die Haut implantiert, die über einen Schlauch das jeweilige Medikament direkt an das Nervensystem abgibt. Je nach verwendeter Pumpe kann der Tank, der sich in der Pumpe befindet, bis zu 40ml Medikament enthalten. In regelmäßigen Abständen (meist ein Mal pro Quartal), wird die Pumpe ambulant in unserer Klinik befüllt. Die Dosierung des Medikamentes kann ebenfalls in der Ambulanz einfach eingestellt werden.
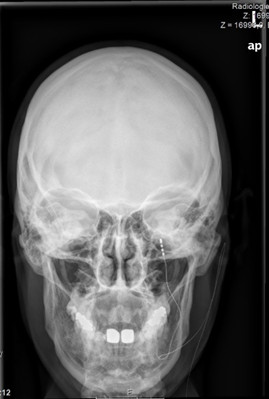
Direkte Stimulation des Ganglion gasseri
In manchen Fällen ist die Verletzung des Trigeminusnerv sehr nahe am Abgang des Nervenknotens gelegen oder die einzelnen Äste des Trigeminusnerv sind nach Operationen/Verletzungen nicht mehr direkt behandelbar. In diesen Fällen kann die Neuromodulation auch direkt am Ganglion gasseri erfolgen. Wie bei der Verödungsbehandlung wird mit einer dünnen Kanüle direkt die Stimulationssonde an den Nervenknoten gelegt. Auch bei diesem Verfahren erfolgt eine Testphase, um den Therapieeffekt zu bestätigen. In einem zweiten Schritt wird dann ein kleiner Schrittmacher unter die Haut implantiert. Dieser liegt meist unter dem Schlüsselbein.

Motorkortex-Stimulation
Bei Schmerzen im Gesicht, die nicht über eine direkte Stimulation des Nerven zu behandeln sind, oder die sich zu großflächig darstellen, besteht die Möglichkeit, direkt den sogenannten Motorkortex zu stimulieren. Zunächst wird der Bereich der Gehirnoberfläche lokalisiert, der die Bewegung des schmerzenden Körperareals steuert. Diese Befunde werden mit einem aktuellen MRT in Einklang gebracht und dienen während der Operation als Landkarte. Es wird nun zielgenau über ein kleines Bohrloch am Schädel eine Elektrode direkt auf die harte Hirnhaut über dem Zielbereich gelegt. Durch eine Hirnstrommessung (EEG) kann die korrekte Lage bestätigt werden. Danach wird ein Stimulator, der die Stimulation dauerhaft steuert, unterhalb des Schlüsselbeins implantiert. Das gesamte System liegt dann unter der Haut. Von außen ist die Stimulation jederzeit veränderbar.