Kiefernekrose / Osteonekrose

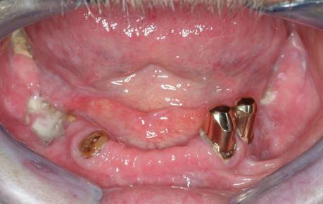
Unter Knochennekrose (Osteonekrose) versteht man eine Erkrankung, bei der Teile eines Knochens oder der gesamte Knochen absterben. Im Kopf- und Halsbereich sind Ober- und Unterkiefer hiervon am häufigsten betroffen. Bis vor wenigen Jahren war die häufigste Ursache für das Absterben von Kieferknochen eine vorausgegangene Bestrahlung im Kieferbereich. Die abgestorbenen Knochenareale wurden als Osteoradionekrose bezeichnet. Durch die in den letzten Jahren zunehmend breite Anwendung von Bisphosphonaten bei der Therapie von Knochenmetastasen (z.B. als Folge von Brust- oder Prostatakarzinomen) und bei der Osteoporosetherapie haben diese Medikamente heute die größte Bedeutung für die Entstehung von Kiefernekrosen. Dieses Krankheitsbild, welches der Osteoradionekrose stark ähnelt, wird Bisphosphonat-assoziierte Osteonekrose oder BONJ (bisphosphonate-associated osteonecrosis of the jaw) genannt. Auch die kürzlich für die Krebstherapie zugelassenen Antikörper Denosumab und Bevacizumab können zur Osteonekrose von Kieferanteilen führen. Eine Kiefernekrose zeichnet sich unter anderem aus durch freiliegenden, nicht von Schleimhaut bedeckten Kieferknochen, zunehmende, scheinbar grundlose Zahnlockerungen, Eiteraustritt aus dem Kiefer oder auch durch Kieferbrüche ohne erkennbare äußere Einwirkung oder Ursache.

Bisphosphonat- und Denosumab/Bevacizumab-assoziierte Kiefernekrosen

Knochennekrosen des Ober- und Unterkiefers treten gerne als Nebenwirkung bei der Einnahme von Medikamenten gegen Knochenstoffwechselstörungen (Osteoporose) und Tumoren (z.B. bösartige Tumoren der Brustdrüse und der Prostata) auf. Während diese Nebenwirkung früher nur den Bisphosphonaten (Diphos®, Didronel®, Etidronat 200®, Bonefos®, Ostac®, Skelid®, Aredia®, Fosamax®, Bondranat®, Actonel®) zugerechnet wurde, zeigen sich inzwischen ähnliche Kiefernekrosen auch unter oder nach Therapie mit Prolia® und XGEVA® (Denosumab, RANKL-Antikörper) sowie Avastin® (Bevacizumab, VEGF-Antikörper). Im Englischen  wird daher auch von MRONJ (medication-related osteonecrosis of the jaw) gesprochen. Gelangen zusätzlich zur Einnahme dieser Medikamente Bakterien ins Knochengewebe (z.B. durch von den Zähnen ausgehende Infektionen, Prothesendruckstellen oder zahnärztliche Eingriffe), können sich diese im geschädigten Knochen schnell ausbreiten und ausgedehnte Entzündungen verursachen. Begünstigend wirken eine dünne Schleimhautbedeckung und eine geringe Durchblutung. So ist der Unterkiefer doppelt so häufig wie der gefäßreichere Oberkiefer betroffen. Die Wahrscheinlichkeit dieser Medikamentennebenwirkung steigt mit zunehmender Behandlungsdauer, steigender Medikamentendosis und ist zusätzlich vom Medikament selbst abhängig. Hochwirksame, moderne Bisphosphonate (sog. Amino-Bisphosphonate) oder die i.v.-Medikamentengabe (im Gegensatz zur Tabletten-Einnahme) haben ein höheres Risikoprofil. Weitere Risikofaktoren sind hohes Alter, Nikotinkonsum und eine schlechte Mundhygiene. Da die Medikamentengabe aufgrund der ursächlichen Grunderkrankung häufig nicht pausiert werden kann und die Wirkung der Medikamente sehr lange anhält (oft viele Monate bis Jahre), sollten  unter laufender Therapie mit diesen Substanzen zahnärztliche und insbesondere zahnärztlich-chirurgische Eingriffe nur unter antibiotischem Schutz erfolgen und eine plastische Deckung des Kieferknochens mit Schleimhaut zwingend beinhalten. Um eine spätere Verschleppung von Bakterien in den geschwächten Knochen zu verhindern, sollten prophylaktisch vor der Einleitung einer Therapie mit Bishosphonaten oder den o.g. Antikörpern alle potentiellen Infektionsherde im Kiefer fachmännisch beseitigt werden.

Osteoradionekrose

Die infizierte Osteoradionekrose stellt eine Sonderform der Knochenentzündung dar, bei welcher der Knochen durch eine erfolgte Strahlentherapie vorgeschädigt wurde. Eine solche Strahlentherapie wird beispielsweise als alleinige oder kombinierte Therapie bei bösartigen Tumoren der Mundhöhle und des Rachens angewandt. Dabei wird der mitbestrahlte Kieferknochen langfristig bzw. lebenslang geschädigt, da sein Abwehrvermögen durch Verminderung der Knochendurchblutung herabgesetzt wird. Bei kleinen Defekten der Mundschleimhaut (z.B. durch Prothesendruckstellen oder scharfe Knochenkanten), Zahnentfernungen oder Infektionen des Zahnhalteapparates (Paradontose) und der Zähne (Karies) kommt es bei diesen Patienten durch Bakterien der Mundhöhle schnell zur Infektion des Knochens. Die Auftretenswahrscheinlichkeit liegt bei bis zu 16 % aller im Kieferbereich bestrahlter Patienten, wobei die meisten Nekrosen zwischen 1 und 4 Jahren nach der Bestrahlung auftreten. Zu den bekannten Risikofaktoren zählen die Bestrahlungstechnik und -dosis, die Lage und Größe des Primärtumors, ein Tabak- und Alkoholkonsum sowie eine schlechte Mundhygiene. Die prophylaktischen Maßnahmen sind dieselben wie die bei den medikamentenbedingten Kiefernekrosen.

Therapie

Ist es, egal durch welche der o.g. Ursachen, zu einer sichtbaren Kiefernekrose gekommen, so sind, je nach Schweregrad bzw. Ausprägung verschiedene therapeutische Schritte notwendig, um eine weitere Ausbreitung der Nekrose und zunehmende Schmerzen, aber auch eine drohende Kauunfähigkeit zu verhindern. In den meisten Fällen ist eine alleinige antibiotische Therapie und lokale Wundpflege mit antibakteriellen Mundspüllösungen nicht ausreichend, da der betroffene Kieferabschnitt nicht mehr zur Regeneration fähig ist. Der abgestorbene Knochenanteil muss vielmehr chirurgisch abgetragen und der darunter liegende, noch gesunde, blutende Kieferabschnitt sicher mit Schleimhaut bedeckt werden. Zudem erhalten Patienten symptomorientiert eine Schmerztherapie. Zusätzlich kann eine hyperbare Sauerstofftherapie, wie sie zur Steigerung des Sauerstoffangebots im Gewebe angewendet wird, ergänzend angewendet werden. Trotzdem bleibt der weitere Krankheitsverlauf nicht selten ungewiss. Bei schwereren Verläufen oder bei nicht seltenem, nach wenigen Wochen oder Monaten Wiederaufflammen der Nekrose muss weiter chirurgisch interveniert werden. Abgekapselte nekrotische Areale (sog. Sequester) müssen entfernt werden. Umfasst die Nekrose die gesamte vertikale Ausdehnung des Unterkiefers, muss gegebenenfalls ein kompletter Kieferabschnitt entfernt werden (sog. Kontinuitätsresektion). Die Kontinuität des Kiefers wird in solchen Fällen zunächst durch Platten und Schrauben vorübergehend wieder hergestellt. Kommt es nach dieser chirurgischen Maßnahme zu keinem Wiederaufflammen der Nekrose im Randbereich der Kieferstümpfe, kann nach wenigen Wochen eine knöcherne Rekonstruktion erwogen werden (z.B. durch Verpflanzung von körpereigenem Knochen aus dem Becken, dem Wadenbein oder dem Schulterblatt).

MediathekInformation und Wissen
LageplanSo finden Sie uns