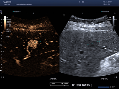
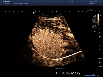
Kontrastmittelsonographie


Die Kon­trast­mittelsonographie (KM-Sonographie oder CEUS – contrast enhanced ultrasound) ist ein wichtiges diagnostisches Verfahren, mit dem Tumore der Leber und anderer innerer Organe (z. B. Nieren, Milz, Bauchspeicheldrüse) beurteilt werden können. Neben Tumoren können auch andere Veränderungen dieser Organe charakterisiert werden (z. B. entzündliche Prozesse, Durchblutungsstörungen). Bei erfahrenen Untersuchern hat die KM-Sonographie eine ähnlich hohe Aussagekraft wie eine Computertomographie (CT) oder Magnetresonanztomographie (MRT). Zur Beurteilung von Leberzelltumoren ergänzen sich alle genannten Verfahren (KM-Sonographie, CT und MRT).

Für die KM-Sonographie wird ein Kontrastmittel eingesetzt, welches aus sehr kleinen, von einer Fetthülle umschlossenen, Gasbläschen besteht. Es kommen sehr geringe Mengen (wenige Milliliter) des Kontrastmittels zum Einsatz. Nach der intravenösen Verabreichung verlassen die Gasbläschen den Körper innerhalb weniger Minuten über die Lunge. Die Niere wird dabei nicht belastet, so dass die Untersuchung auch bei Patienten mit fortgeschrittener Nierenerkrankung angewandt werden kann. Unerwünschte Wirkungen (z.B. allergische Reaktionen) treten sehr selten auf und sind unabhängig von bekannten Allergien gegen CT- oder MRT-Kontrastmittel.

Die KM-Sonographie ist nicht nur für die Diagnostik von gutartigen (z.B. Hämangiom, fokale noduläre Hyperplasie - FNH, Adenom) und bösartigen Lebertumoren („Leberkrebs“ oder hepatozelluläres Karzinom - HCC, Gallengangkarzinom oder cholangiozelluläres Karzinom - CCC, Metastasen von Tumoren außerhalb der Leber) und entzündlichen Prozessen (z. B. Abszesse), sondern auch für die Verlaufsbeurteilung dieser Veränderungen hervorragend geeignet.

MediathekInformation und Wissen
LageplanSo finden Sie uns